• 6224阅读
  • 1回复

[义乌故事]“移花接木”再造拇指,医生竟从他脚上搬来了救兵…… [复制链接]

上一主题 下一主题
 

发帖
1031
奖学金
1298
威望
14615
微信分享到朋友圈 图酷模式 只看楼主 倒序阅读 腔主  发表于: 2024-07-16
马上注册,结交更多好友,享用更多功能,让你轻松玩转义乌十八腔,更多精彩评论请登录后查看。
  已有账号?点击登录
关闭


“移花接木”再造拇指,医生竟从他脚上搬来了救兵……


如果不是医生特意提醒,我们很难看出来老江(化名)的右手大拇指是从脚上的踇趾“移花接木”而来。对于意外的发生,这个年近60的大男人依然感到懊恼和后怕,幸运的是,面对老江无法挽回的损伤,义乌市中心医院手足外科团队通过高超的医术,将老江的脚趾巧妙地移植成为手指,实现了“移花接木”的奇迹。

毁损、污染,无法再植
前段时间,老江的右手手指在工作时不慎被压断损毁,伤口流血不止并伴随剧烈疼痛。“那半截指头当时就找不到了,少了一根手指,工作生活都会有种种不便,别人看到我这根断指,在背后会怎么议论我啊……”老江直言,当时的第一反应就是完了。随后,他被工友送进中心医院急诊室。
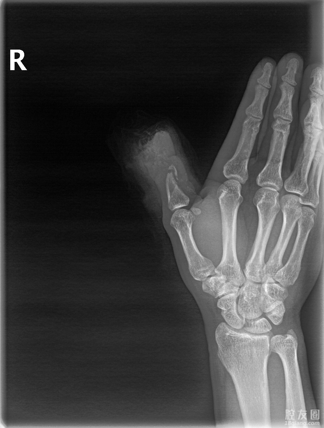
手足外科主任、主任医师杨锦第一时间赶到急诊时候,对老江的伤情进行了详细的评估,发现其右拇指末节离断、出血多、活动受限,近节桡侧至指间关节以远指体缺如,创缘不齐,软组织毁损严重,创面内见较多泥沙污染物,最重要的是离断的手指缺失,已经失去再植的条件。
手指是人体最灵活的器官,没有了大拇指,抓、握、捏等重要动作都无法完成,甚至连扣纽扣、数钞票、打字等日常生活中简单却重要的动作都很难完成,对生活影响极大。
考虑到老江是家里的顶梁柱,拇指的缺失将对他个人及家庭而言是不小的打击。在认真评估老江受伤情况,经过慎重考虑,杨锦建议他截取脚趾部分的趾体,移植到大拇指上,用脚趾“补齐”手指,通过“移花接木”再造一根完整的“大拇指”,最大限度恢复手指的外形及功能。

移花接木,大拇指完美复活
将脚趾移植到拇指上?乍一听说这个手术方案,老江一家人直言“懵了”,心里想的都是“根本不可能实现的事情”。
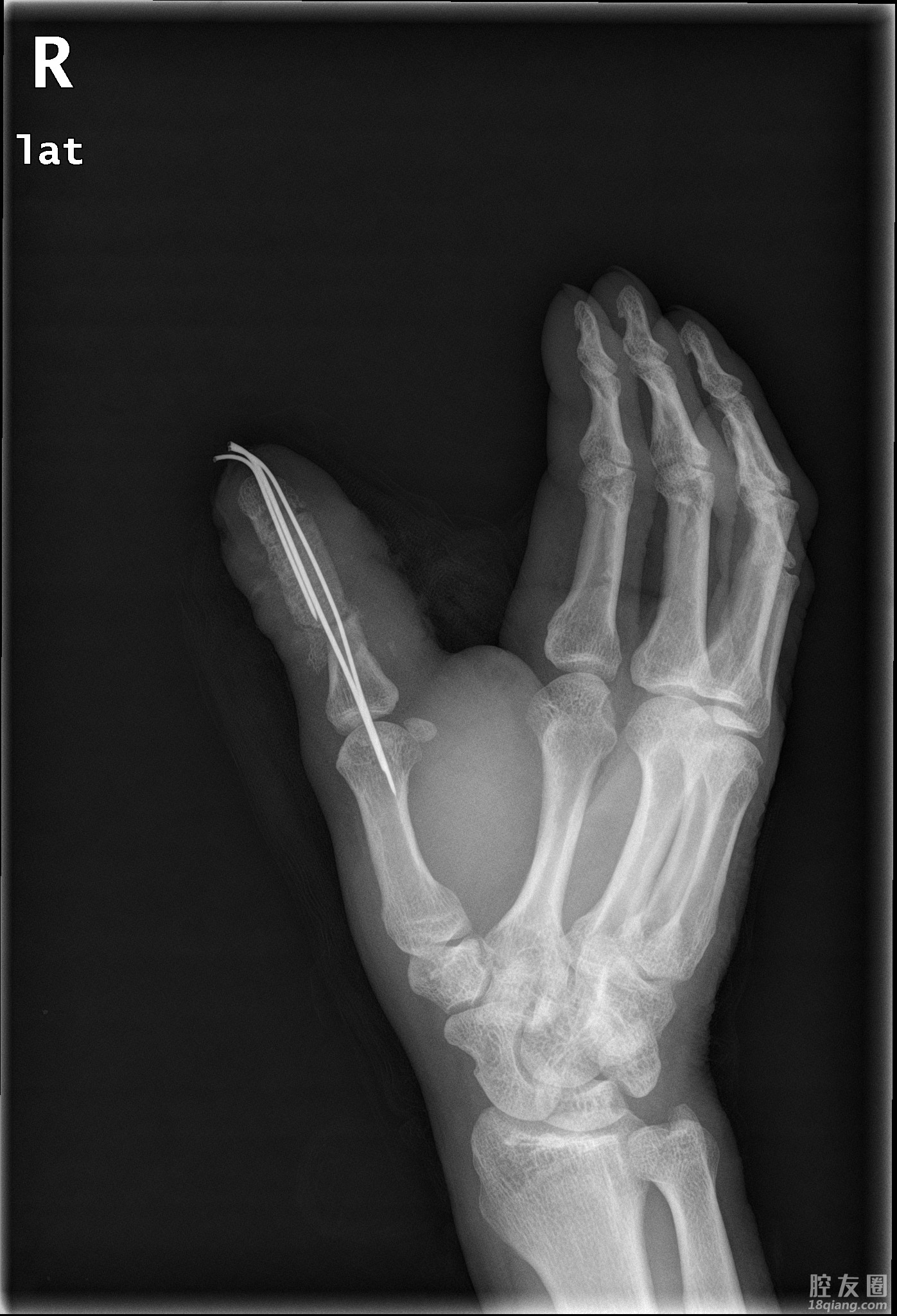
杨锦介绍,根据老江的情况,团队为其量身定制了分期移植的手术方案,一期手术对右拇指残端进行了细致清创处理;二期手术最为关键,需要根据缺损大小在患者右足踇趾腓侧精准设计带趾骨踇甲瓣进行移植。
手术中,杨锦主任医师团队小心游离解剖右踇趾血管神经,游离髂骨组合移植,以最大限度保证再造大拇指的长度和功能,又能大大降低对右足踇趾供区的破坏。
手术的关键是显微镜下的精细操作,需要用相当于头发丝三分之一粗细的缝合线进行神经、血管的吻合,每一步都需要精细再精细、严谨再严谨。经过手足外科团队的艰苦奋战,再造的手指外观接近正常手指,血管吻合一次通血成功,血运良好,指体红润、饱满,团队成功完成拇指全形再造手术。
住院期间,老江每天都在观察拇指的细微变化,看到手指一天天好转,他的内心充满了喜悦和希望。经过医护团队的精心护理和术后治疗,再造拇指血运良好,运动、神经感觉恢复良好,无感染、开裂现象,修复后的手指成功存活,他的大拇指又“活过来”了。
而这,也再一次彰显了手足外科的强劲实力。

手指离断不要惊慌,正确保存断指很重要
杨锦提醒,如果不幸遭遇手指完全离断,首先不要惊慌,正确保存断指、及时就医都非常关键。
患指残端通过以上方法止血、消毒包扎。
断指保存切记两个原则:干燥、冷藏。
干燥,即断指不可与各类液体直接接触,应使用干燥的无菌纱布或者干净毛巾等包裹,用塑料袋等能防水的袋子装好,并扎紧袋口。
冷藏,即断指需保存在0~4℃环境下,可使用冰块、冰冻饮料、冰棍等放置在包裹断指的袋子外面。(切忌断指直接与冰块等接触,或随意揣入口袋)
及时就医(断指再植最佳手术时间在6小时以内)。

那么,日常应该如何预防手外伤呢?
做好防护措施
日常工作、运动时,做好手部防护措施(戴手套等)。

集中注意力
日常做事时,注意力要保持集中,尤其像在厨房、健身房、建筑工地等存在受伤风险的地方活动时,更应注意排查周边可致受伤物品。

规范使用器具
使用刀具、健身器材、各类机器等易致手指外伤的物品时,应严格按照说明书规范使用。

中心医院手足外科是“中国创面修复专科建设培育单位”,近年来发展迅猛。科室常规开展各种手足显微外科手术,包括各种复杂性断指断肢再植、头皮完全性撕脱伤再植、各种游离组织瓣与穿支皮瓣移植、拇手指再造、臂丛神经损伤的早期修复与二期功能重建、手足畸形的矫正、腕关节镜技术的临床应用、各类慢性创面的修复、足踝创伤的修复等,多项技术填补地区甚至省内的空白,综合实力居区域领先水平。
14条评分威望+14
12
特别声明:帖子及回帖全部内容为论坛用户自行上传发布并承担相应的法律责任,不代表本网站观点和立场,本网站仅提供信息存储服务。任何用户如认为页面上的特定内容涉及侵权,可通过页面底部侵权投诉指引向我们进行投诉。
本帖共有1条回复,请登录后查看。
  已有账号?点击登录
快速回复
限100 字节
如果您提交过一次失败了,可以用”恢复数据”来恢复帖子内容