设为首页
客户端
下载客户端
广告联系
登录
|
注册
下次自动登入
忘记密码?
社区服务
积分竞拍
道具中心
统计排行
基本信息
管理团队
管理统计
在线会员
会员排行
版块排行
帖子排行
帮助
个人中心
帖子
日志
用户
版块
帖子
搜 索
快捷通道
关闭
您还没有登录,快捷通道只有在登录后才能使用。
立即登录
还没有帐号? 赶紧
注册一个
全站首页
论坛
手机版
求职招聘
百姓话题
都市男女
乐活义乌
谈婚论嫁
口水楼市
装修大本营
亲子乐园
车友会
驴友户外
摄影
水墨江南
紫色梦幻
绿之印象
默认
黑色旋风
新帖
精华
>
百姓话题
>
智齿没什么作用,要不要拔掉呢?
发帖
回复
返回列表
新帖
3585
阅读
17
回复
[随便说说]
智齿没什么作用,要不要拔掉呢?
[复制链接]
上一主题
下一主题
离线
一名小小牙医
UID:3461544
注册时间
2021-05-03
最后登录
2021-05-04
发帖
54
搜Ta的帖子
精华
0
奖学金
60
威望
74
打卡
今日未打卡
访问TA的空间
加好友
用道具
佃户
关闭
个人中心可以申请新版勋章哦
立即申请
知道了
发帖
54
奖学金
60
威望
74
加关注
发消息
微信分享到朋友圈
打开微信扫一扫
如何扫描分享
图酷模式
只看楼主
倒序阅读
腔主
发表于: 2021-05-04
马上注册,结交更多好友,享用更多功能,让你轻松玩转义乌十八腔,更多精彩评论请登录后查看。
立即注册
已有账号?
点击登录
关闭
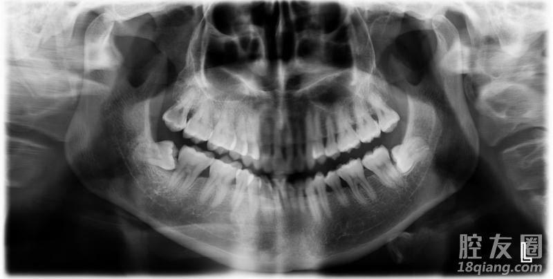
虽说智齿没什么作用,甚至有些人还不长智齿,位置长得正且有对合牙的智齿,不要轻易拔除。但如果智齿位置不正,经常发炎红肿,才需要拔除。一般上面的智齿比下面的好拔,特别是那种埋伏型的智齿需要做一个局部麻醉的小手术。拔完智齿后,一定要好好休息。
图片:3_3461544_1620114755680599.jpg
共
6
条评分
,
威望
+6
白菜花
威望
+1
-
2021-05-06
菜市场机帕
威望
+1
-
2021-05-05
a654349826
威望
+1
-
2021-05-05
bignew
威望
+1
-
2021-05-04
一名小小牙医
威望
+1
-
2021-05-04
三分钟热度
威望
+1
-
2021-05-04
特别声明:帖子及回帖全部内容为论坛用户自行上传发布并承担相应的法律责任,不代表本网站观点和立场,本网站仅提供信息存储服务。任何用户如认为页面上的特定内容涉及侵权,可通过页面底部侵权投诉指引向我们进行投诉。
回复
举报
本帖共有17条回复,请登录后查看。
立即注册
已有账号?
点击登录
发帖
回复
返回列表
快速回复
限100 字节
如果您在写长篇帖子又不马上发表,建议存为草稿
您目前还是游客,请
登录
或
注册
进入高级模式
文字颜色
回复时多说几句,这会让你的发言更受关注!(我们提倡更有价值的回帖(*^_^*)……)
写好了,发布
回复后跳转到最后一页
美食
|
旅游
|
亲子
|
汽车
|
装修
|
摄影
隐藏
快速跳转
版块导航
百姓话题
都市男女
乐活义乌
亲子乐园
车友之家
口水楼市
装修大本营
谈婚论嫁
爱心公益
意见建议
关闭
关闭
选中
1
篇
全选
请选择如下方式登录十八腔
打开 十八腔手机APP - 消息 - 扫一扫
二维码已失效
点击刷新
>
扫描成功
关闭